본문

마포탑안과는 검진 예약 시스템을 통해 긴 대기시간 없이 대학병원 수준의 진단이 가능합니다.
마포탑안과의 안저 정밀 진단은 풍부한 진단 경험이 있는 안과 전문의 정확한 판단으로 이루어집니다.
마포탑안과의 안저 정밀 진단은 풍부한 진단 경험이 있는 안과 전문의 정확한 판단으로 이루어집니다.

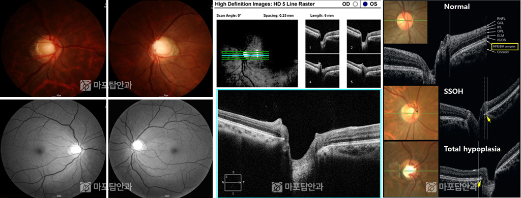
라식 예정이었던 34세 여자 환자의 안저 검진 사진입니다. 좌측 녹내장 의증으로 의뢰되었지만 시야 검사를 비롯한 정밀검사와 논문게재 방법을 이용하여 SSOH(시신경 부분 형성 부전) 정상 진단으로 판정했습니다. 진단 후 7년동안 시신경 섬유의 변화가 없었으며 라식 수술을 진행한 케이스입니다.

유사한 증례로 녹내장이라 진단 받았지만 SSOH로 진단, 경과 관찰 중 시신경 섬유에 변화가 없다는 것을 확인하여 정상 진단으로 판정했습니다.

37세 남자 환자의 안저 검진 사진입니다. 시신경 유두 함몰비 증가 및 녹내장 의증으로 의뢰되었으나 정상 판독되었습니다.

52세 여자환자의 안저 검진 사진입니다. 시신경하이측 시신경출혈이 관찰되었지만, 상이측에 이전 출혈로 인한 시신경섬유결손이 발생 및 녹내장으로 진단하여 치료중입니다.

40세 남자환자의 안저 검진 사진입니다. 건강 검진상으로는 정상이었으나 상이측 시신경섬유결손과 시야손상 발견되어 초기 녹내장 진단 받고 치료 중입니다.

OCT 이상소견으로 녹내장 의증이라고 진단 받았지만 시야 및 시신경섬유 판독 결과 정상으로 진단 받았던 환자들입니다.







